Scolioza la copii: exerciții și tratamente

Data publicării:
Elena Didila
Autorul articolului: Elena Didila
Fotografie de la Cottonbro Studio/ Pexels
Fotografie de la Cottonbro Studio/ Pexels

Copiii cu scolioză trebuie să lucreze la flexibilitate, întărirea și întinderea mușchilor spatelui. Mai jos vă arătăm câteva exerciții și întinderi de efectuat în cazul unor anomalii de aliniere vertebrală.



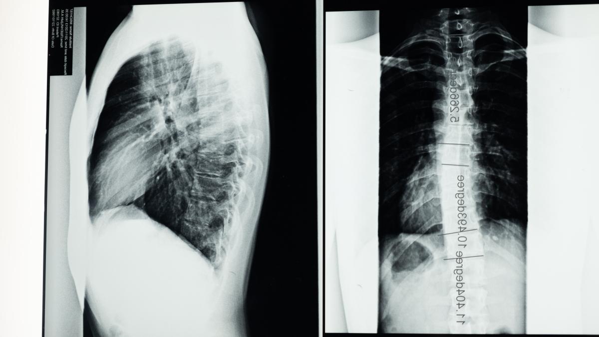
Scolioza este o tulburare în alinierea coloanei vertebrale. Această deformare este frecventă la copiii în creștere. Din fericire, activitatea fizică promovează flexibilitatea spatelui, ameliorând astfel simptome precum durerea. Iată câteva exerciții și întinderi de făcut pentru copiii cu scolioză.

Există multe motive care pot face ca alinierea coloanei vertebrale să nu se alinieze. Printre acestea se numără și factori dobândiți din traume sau ca urmare a unei alte boli. De asemenea, există cauze congenitale, adică de la naștere. Prin urmare, este important să se diferențieze o scolioză structurală de una funcțională.

În funcție de severitatea deformării, tratamentele variază de la un plan de exerciții adaptat la proceduri chirurgicale. În cazurile mai ușoare de înclinare a coloanei vertebrale, kinetoterapeutul va proiecta un program cu activități pentru a flexa , întări și prelungi fiecare zonă a spatelui.

Exerciții pentru scolioză la copii

Exercițiile pentru scolioză pentru copii sunt activități care vă permit să lucrați pe diferite zone ale coloanei vertebrale. În plus, se poate desfășura o muncă globală, atât pentru spate, cât și pentru întregul corp, în funcție de scopul urmărit. Următoarele exerciții sunt câteva dintre cele care pot fi făcute acasă.

Tratamentul pentru scolioza la copii este întotdeauna indicat de medic, iar în funcție de gradul scoliozei, acesta va recomanda copilului și anumite exerciții care să ajute activ și recurent la corectarea posturii în timp.

Iată 3 exerciții pentru scolioza la copii, în general fiind permise numai acelea care ameliorează curburile coloanei vertebrale și întăresc mușchii spatelui:

Se așază copilul cu zona afectată în paralel cu un zid, la distanță de 15 cm, cu partea dreaptă spre zid, venind cu mâna stângă ridicată pe deasupra capului, atingând zidul și sprijinind-o acolo, mâna dreapta fiind întinsă pe lângă corp. În modul acesta, se va flexa toată zona toracală pe partea stângă.

În continuare, din această poziție, se recurge la derotarea vertebrelor, lucru foarte important în tratarea scoliozei. Astfel, mâna dreaptă se aduce prin fața corpului în zona pieptului, spre stânga, rotind ușor corpul.

Se repetă flexarea mâinilor prin fața corpului, acest exercițiu ajutând la redarea curburilor de cifoza și lordoza, pentru că în momentul în care apare scolioza, aceste curburi fiziologice se șterg automat.

Se poate continua astfel cu mișcări ușoare anterior-posterior ale capului si gâtului, în balans cu întreg corpul (el fiind fie ușor cocoșat, fie ușor lordozat), pentru a echilibra zonele menționate mai devreme.

Exercițiul următor este menit să ajute reglarea posturii normale din zona lombară: se poziționează un caiet la un pas distanță în fața copilului, iar piciorul stâng se așază repetat pe acesta.

Caietul este la un nivel puțin mai ridicat și permițând corectarea curburii lombare.

Un alt exercițiu foarte important se poate efectua din poziția de stat la birou, atunci când copilul își face temele sau când se relaxează pe scaun.

Un aspect notabil este că el trebuie să fie cât mai aproape de birou, să aibă mâna stângă întinsă, sprijinită în cot și palma la nivelul urechii, iar piciorul stâng să fie peste piciorul drept. Acest exercițiu are ca scop corectarea poziției curburii din zona lombară.

Google News icon  Fiți la curent cu ultimele noutăți. Urmăriți Parinți și Pitici și pe Google News



Te-a ajutat acest articol?

Urmărește pagina de Facebook Părinți și pitici și pagina de Instagram Părinți și pitici și accesează mai mult conținut util pentru a avea grijă de copilul tău în fiecare etapă a dezvoltării lui.


Tagurile articolului: copii exercitii scolioza





pixel